12JunGums over teeth

Are your gums growing over your teeth? Do you have swollen gums? If so, periodontist has answers and treatment options available to you. Swollen gum, also known as gum overgrowth or gingival enlargement can be a serious side effect of other conditions. Although it might not seem as bad to have your gums growing too much at first, it can actually cause danger to your teeth, look unattractive, and feel uncomfortable. So, why this happens and what dentist can do to restore your gums and smile back to health and beauty.

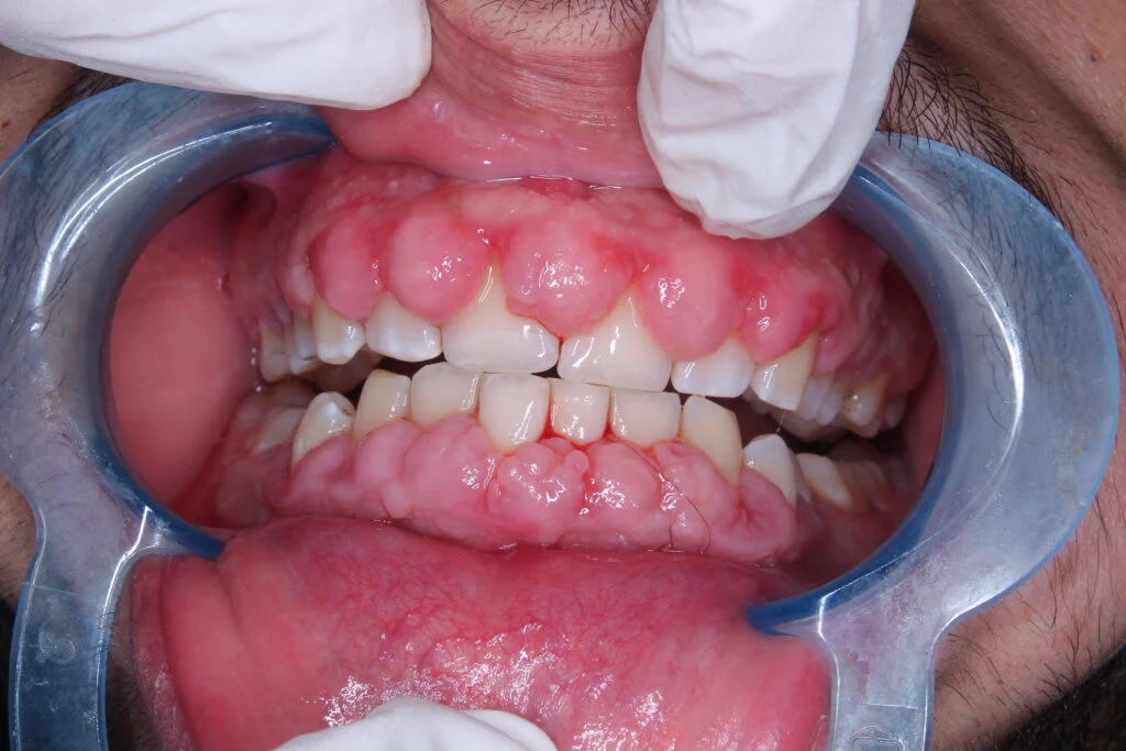
Gums over teeth

Possible causes of swollen Gum

Swollen Gum usually occurs when your gum tissues respond aggressively to irritants like plaque or tartar. Instead of leading to receding gums, gum disease can trigger excessive growth of gum tissue.

Specific causes of gingivitis include:

  • Poor dental hygiene resulting in bacterial plaque, gingivitis and periodontitis
  • Smoking, mouth breathing and overcrowded teeth
  • Systemic diseases especially diabetes, HIV infection

But what causes your gums to respond this way? For some people, the condition is genetic. When this is the case, there’s no identifiable cause that we can look to, and we just have to deal with the consequences. Healthy, pink gum tissue grows excessively, completely covering teeth if it’s not removed.

Swollen Gum is also a side effect of some medications. The medications most commonly linked with swollen gum are the anticonvulsant phenytoin, the immunosuppressant cyclosporine, and a number of calcium-channel blockers.

Swollen Gum can also be the result of systemic changes in your health. Pregnancy is one of the most common, but other hormonal imbalances and leukaemia have also been linked to gum overgrowth.

Effects of Swollen Gum

Swollen Gum can look unattractive. With other causes of swollen gum, you may experience localized red, swollen gums. They can also be painful and are likely to bleed. Since most swollen gum are inflammatory in nature and are dangerous to your teeth and bones. In all cases, gum swelling can trap bacteria, tartar, and irritants under the gum line, leading to accelerated decay and more irritation.

How to Prevent Gum swelling

If your gum swelling is due to poor oral health and not genetics, there are a few things you can do to prevent it from occurring in the future.

  • Removal of bacterial plaque by thorough tooth brushing and flossing
  • Antiseptic mouthwashes such as chlorhexidine
  • Ultrasonic treatments
  • Courses of antibiotics to reduce oral bacterial load (e.g. erythromycin or azithromycin)

Destress

Another leading factor of gum disease is stress. Do your mental and oral health a favour and find ways to destress in your life to prevent gum disease.

What is the treatment for swollen gums?

We can also look at your medications to see which might contribute to gum overgrowth. You should talk to your doctor about other options that may not have the same effects.

The only option is to recontour your gums with an attractive smile. Gingivectomy (surgical removal of the swollen gum tissue) may be necessary for severe cases and may be repeated if necessary.

One of the reasons your gums begin to overgrow is from untreated gum disease. By visiting the dentist every six months for a cleaning and check-up, your periodontist can catch gum disease in its earlier stage. With immediate treatment, serious consequences like swollen gums won’t occur.